很多朋友都有兴趣知道种植牙的手术流程吧,下面我们的小编对于这个问题,就来仔细地介绍一下,希望对大家能有所帮助。

种植牙手术的流程
第1步:
1)治疗前医患沟通,充分了解病人的期待和愿望。
2)排除急性病理状态、急性感染。
3)对没有治疗价值的牙齿,根据具体情况拟定拔除时间。
4)调改或制作临时性修复体,使它具有恰当的垂直距离、牙弓形态及颌平面,能完成一定的功能和维持一定的美学要求。
第2步:
1)牙周病牙的治疗确不能保留的牙齿予以拔除。
2)相邻病灶牙根管治疗。
3)种植前手术,包括:软组织成形术、牙槽嵴成形术、牙槽骨增量、上颌窦提升等无法与种植体植入同期进行的手术。
4)制作手术导板。
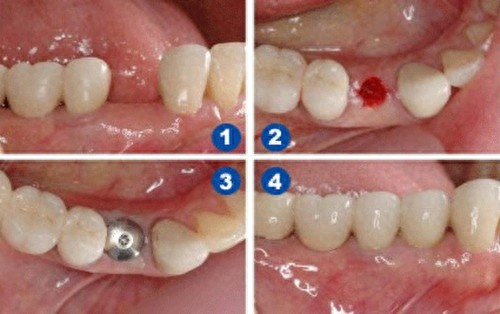
第3步:种植手术
第4步:
1)骨整颌期应维持种植区无创健康环境。
2)制作过渡义齿,保证种植区无创基础上,让病人有一能行使一定功能,具有美学外观的过渡性修复体。
3)完成牙周治疗和相继的维护步骤。
4)完成所有的根管治疗及必要的牙冠预备。
第5步:
1)暴露种植体(埋植式系统,如非埋植式则无此步骤),放入牙龈形成器。
2)牙龈成形。
3)重新评估,并按要求拔除对预后有影响的任何余留天然牙,完成牙齿预备。
第6步:
1)印模。
2)试戴,将制作完成的金属铸件放入口内试戴,确定达到被动就位,摄片证实基台与种植体间无任何间隙。
3)修复体(种植义齿)就位必要的摄片证实就位状况。
4)调整咬颌。
5)固定。
第7步:
维护及随访,口腔卫生和家庭维护指导。

种植牙的维护
每颗种植牙寿命的长短除了与治疗好坏有关外,还与患者日后的身体状况、使用及自我维护密切相关。而后者是决定种植牙寿命的决定性因素。
因此,接受了植牙的患者应严格按照医师的指导去做,包括自身清洁维护和定期的专业去除牙石及菌斑的复诊维护等。这样才能使您的种植牙更有效更长久地为您服务。可以告诉您的是:一颗最早的现代种植牙,为缺牙者完美地服务已超过40年了!种植牙需与天然牙协调,以维持正常的口颌系统功能,对种植牙定期进行调(牙合)处理,以适应不断变化的(牙合)关系。

种植牙和天然牙一样由多个部分组成,但天然牙的各个部分是有机地结合在一起,而种植牙是靠螺丝或粘接剂连接,定期检查种植牙的各个部件是否出了毛病,以便及时修理。
只要做好口腔卫生并定期检查,人工植体能维持的时间就可以和真牙一样久。种植牙有类似天然牙的牙体与牙周关系,有必要对种植牙的周围进行特殊的种植体洁治和周围天然牙进行常规洁治。从而维持种植牙的长期稳定。
此文章只可用于大众获取口腔方面的知识及交流,不能用于自我诊断病情。以上资料仅供参考,如还有牙齿正畸的问题可在下方留言,我会尽快给予回复或者到就近口腔医院做口腔检查!




